Self-Assembling Nanotech Found in Moderna Vaccine

Bombshell News: American Medical Researchers Witness SELF-ASSEMBLING Graphene Oxide Nanotech or AI Syn Bio in Moderna Vaccine Under Microscope.

By Ramola D.,

Source: Ramola D.’s report with Everyday Concerned Citizen.

In bombshell news pointing to the much-speculated-on presence of nanobots in vaccines, an American medical researcher reports that moving, shifting, self-assembling nano-particulates of possibly Graphene Oxide and/or forming synthetic biology polymers were seen under an optical microscope in a few drops of Moderna vaccine from a freshly-opened vial of Moderna, with pictures as below (please scroll down).

The vial was opened for the administration of a vaccine to one person, after which the sample for viewing was taken. The information around the researcher and circumstances is being kept anonymous currently to protect the source. However, the researcher wished to share the news with all.

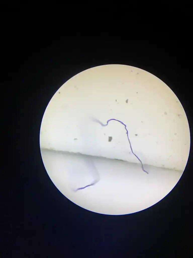
This researcher notes that specks of possibly nano Graphene Oxide seemed to self-assemble into shapes. Worm-like structures and specks seemed to be moving and also began to move in concert. The direction of movement noted was toward the edges of the glass. The nanobots also seemed to become aware of the researchers’ viewing through the eye-piece and seemed to pause and then appeared to approach the center. Long thread or worm-like shapes as well as clumped jagged shapes as seen in the La Quinta Columna microscopy pictures of Graphene Oxide in the Pfizer and AstraZeneca vaccines were observed.

The colored and grayish nano specks and tubes were observed with a regular compound microscope and nothing was added to the drops of Moderna. A witness researcher also observed the moving nanobots and filaments under the microscope. Any further observations or analysis with more sophisticated microscopes will be reported here to add to this report.

This researcher states this is “what I observed under the microscope- freshly opened vial of Moderna – nothing added. Only light source and warmed to room temperature over two hours.”

These moving nano-worms are very similar to images published in mid-April by Mike Adams of Natural News in his microscope observations of masks, as also to Dr. T’s observation of nano-worms in masks, published in Not On the Beeb videos, as well as numerous lay researchers who have published their iPhone pictures and videos of moving filaments on masks and on nasal swabs . Dr. Ariyana Love reported in early April that these were hydrogel carbon nanotubes being used in the delivery of vaccines on masks and nasal swabs without informed consent. Karen Kingston the Pfizer whistleblower who has revealed redactions in Pfizer EUA filings documents has also revealed that Graphene Oxide is being used by Moderna and Pfizer in the PEGylated lipids used to encase the mRNA particles for coerced entry of these foreign mRNA molecules into human cells through naturally resistant human cell membranes.

Graphene Oxide is known to be highly toxic and cause blood clots.

The evidence of intelligent self-assembly of nanotechnology and intelligent filament-movement is an indicator of synthetic biology and nanobioelectronics, as per several scientific papers (some listed below) published in various journals, and points to the stealth inclusion of Graphene Oxide in the Moderna vaccine for electromagnetic manipulation of cells and neurons via the creation of synthetic neural networks in the human body and brain. This is a clear sign of malfeasance and intended transhumanizing and cyborgizing of the human body through the COVID vaccines.

It must be remembered that both Pfizer and Moderna developed the Transhumanist mRNA vaccines for DARPA, on DARPA contracts from 2013. Pfizer and Moderna’s military connections as well as the mRNA connections with DARPA’s Regina Dugan now directing the Wellcome LEAP ventures and DARPA’s Dan Wattendorf now at the Gates Foundation were discussed here earlier. DARPA’s “Pandemic Prevention Platforms” and ADEPT diagnostic and monitoring platforms are based on bioengineering, gene manipulation, and synthetic biology. These human-takeover programs envision an infinite future of mRNA vaccines and external control of the human body and brain, which Graphene Oxide would permit.

Further evidence of Graphene Oxide in the vaccines and in the chem trails and atmosphere has been discussed here:

Evidence of Nano Graphene Oxide (GO) Poisoning, Body & Brain: In COVID & Flu Vaccines, Chem Trails, Rainwater, Saline, Plus: Pfizer Whistleblower Karen Kingston Confirms GO in PEGylated Lipid Nano in Pfizer & Moderna Vaccines

Crime Scene Vaccine: Nano Graphene Oxide in High Amounts Now Found in Moderna, Other Vaccines, also Sanofi Flu Vaccine, & Saline Solution Point to COVID-19 (& All Professed Variants) Being Graphene & 4G/5G Poisoning, Not a Virus

Findings of Graphene Oxide and magnetic nanoparticles in agricultural feed, meat, and other sources were also discussed here in Panel 1 – Carnicom Disclosure Project Update from Transparent Media Truth and Ramola D Reports featuring Dr. Robert Young, Dr. Carrie Madej and Dr. Judy Mikovits.

IMAGES FROM MODERNA VACCINE UNDER MICROSCOPE:

SIMILARITY TO OTHER IMAGES:

Example of fiber found in mask in images from Mike Adams, Natural News lab microscopy:

Image of Nano-Worm found on Face Mask by Dr. T.

Image of Graphene found in Vaxigrip Tetra flu vaccine reported by La Quinta Columna:

Images of Graphene Oxide found in Pfizer vaccine by the La Quinta Columna and University of Almeria researchers:

Sampling of papers revealing Graphene Oxide use in Gene Therapy and Nanobioelectronics

Genetically Targeted Control of Neuronal System

Efficient mRNA delivery with graphene oxide-polyethylenimine for generation of footprint-free human induced pluripotent stem cells.

Graphene-based Nano-Carrier modifications for gene delivery applications

Graphene Nanobioelectronics and Nanobiosensors Group/Catalan Institute of Nanotechnology

Recent advancement in biomedical applications on the surface of two-dimensional materials: from biosensing to tissue engineering.

Graphene nanoparticles and their influence on neurons

Graphene oxide-induced neurotoxicity on neurotransmitters, AFD neurons and locomotive behavior in Caenorhabditis elegans

Recent progress of graphene oxide as a potential vaccine carrier and adjuvant.

Related:

PFIZER VACCINE UNDER MICROSCOPE SHOWS SIMILAR NANOBOT MOVEMENT: Supporting evidence posted in an European video on Telegram and Youtube August 10, 2021, showing the same phenomenon of bioluminescent, self-assembling nanotechnology, clumping, moving, forming networks, and showing a fractal crystalline structure–very similar to the crystalline nano-antenna networks formed in saliva post-vaccine (as reported in the Slovakian report which is posted here in Toxins Found in COVID Vaccines, Masks, Swabs):

Follow Ramola D. at Everyday Concerned Citizen

————————————————————————————-

Editors Note:

At the end of this video revealing the many active ingredients in the Pfizer serum, we see the rapid crystalline growth of the graphene oxide nanoparticles under microscopy. This is the new neural network governments want inside of everybody. It’s achieved through self-replication of the graphene oxide which is a programmable matter that establishes an artificial neural network or “operating system” as Moderna calls it, throughout your entire body.

Graphene oxide being superconductive will enable the synthetic neural network to connect you to the 5G grid, “Internet of Things” and to AI. This is for the ABSOLUTE subjugation of your mind, body and soul. Every soul has a unique energetic frequency signature which cannot be duplicated. Your DNA is the blueprint of your soul, whose energy radiates through every cell in your body.

The pharmaceutical cartel’s Covid-19 Democide is the ultimate rape and bondage of the human species. This biohacking technology is harnessing your soul’s energetic field to fuel it’s evil “operating system”. We must fight back or this may end in the total annihilation and enslavement of the human species. This is a biological attack.

Leave a comment